すべての歯を動かす全顎矯正とは異なり、部分矯正とは、目的とする歯だけを移動させるので、時間と費用を抑えられます。
そもそも歯並びが悪いと、どうしても歯磨きがしづらい箇所や、ハブラシが届かない箇所が多くなり、フロスや歯間ブラシが何とか通る状態です。そのため、時間の経過とともに、むし歯や歯周病になるリスクが大きくなります。そのため、結果として早い段階で歯を失うことになり、お口の健康だけでなく、身体や骨格、精神面にも大きな影響を与えることがあります。
矯正歯科治療とは、簡潔にいうと、悪い歯並びをキレイにする治療です。
一般的なイメージとして、審美的な面(歯並びだけをキレイにする)だけの治療とお思いの方が多いですが、矯正治療の本来の目的は、歯並びを整え、咬み合わせを正しくし、歯の寿命を延ばすことです。
8020達成者の方の歯並びは良好だったというデータもあります。
そこで、当院では、部分矯正治療を行っております!
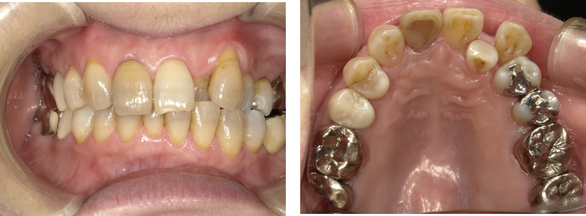
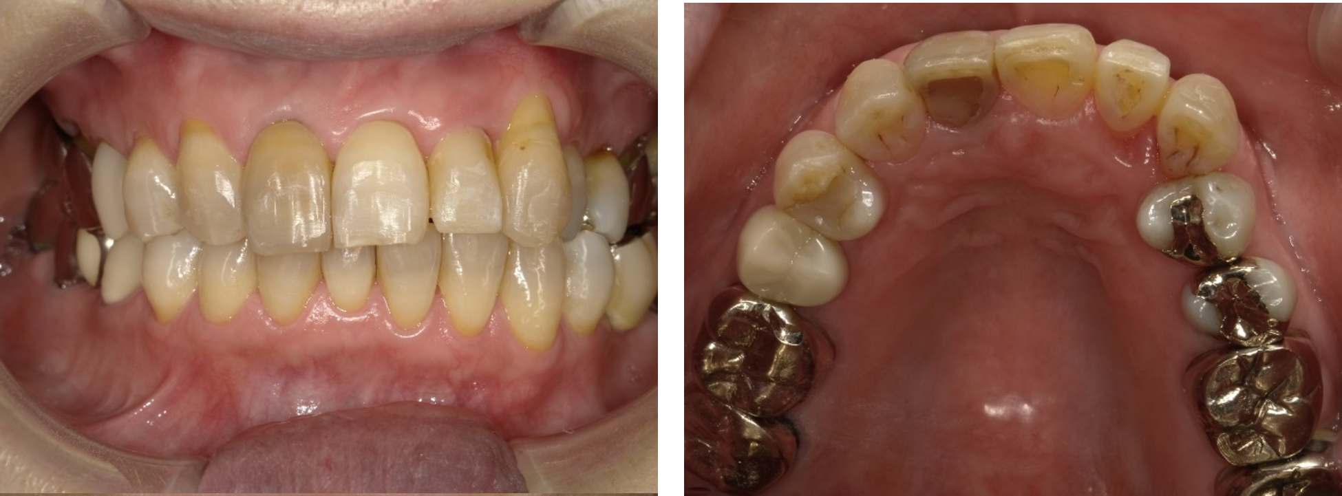
上の図のような悪い歯並びは、多くの場合、全顎矯正(全部を矯正する)で対応することが多いですが、臨床的には、気になる部分を少し矯正する(部分矯正)だけで対応できるケースも多くあります。
例えば、
・前歯の1本が出っ歯で見た目が気になる
・前歯にすき間があり、物が詰まる
・被せ物等をするために、斜めに生えているので神経を取る必要がある
・歯が横を向いて生えているので、歯周病が治りにくい
等の、全顎矯正までは必要ではない場合にとても有効なのが、部分矯正治療です。
部分矯正を行うことによって、患者様のご希望に応えることができる上に、
・より質の高い被せ物を提供できる(しかも神経は取らなくても良い可能性あり)
・歯周病に罹りにくい、重症化しにくいお口の環境を作る
ことにより、結果として歯を長く持たせることができる可能性と治療の選択肢が広がります。
実際に当院で部分矯正治療を受けられた方の感想です。
「はじめは装置に慣れずに口内炎ができたり、歯磨きでも苦労しましたが、だんだん動いてくる自分の歯を見ると、勇気が湧いてきました。治療が終わるころには、通い始めたころとは見違えるように、綺麗になっていて長年のコンプレックスから解放されました。
矯正治療はとても高いと聞いていたけど、部分矯正なら20~30万で済むし、何より健康な歯を大きく削られないのが魅力です」
<特徴>
*当院の矯正治療は、院長自ら責任もって行います。治療後のアフターケアも万全です。
*院長自らが行いますので、数週間もお待たせせずに対応できます。
*可能な限りコストを抑え、抜歯せず、治療期間の短縮を図っています。
*矯正と補綴の組み合わせで短期終了した症例もあります。
*当院で矯正を行って、笑顔を手に入れた方も多くいらっしゃいます。
<料金表>
・基本料金 2歯まで:\100,000
4歯まで:\200,000
6歯まで:\300,000
*診査診断・カウンセリング料 \5,000
・調整料 \5,000/月
・ゴム交換料 \1,000/月(調整料算定日とは別日)
